医学角度分析,伦纳德的腿伤到底是什么情况?
伦纳德和马刺的肥皂剧早就沸沸扬扬,两者关系的裂痕使得夏天YY伦纳德的交易变成了热门的话题。
伦纳德和马刺的肥皂剧早就沸沸扬扬,两者关系的裂痕使得夏天YY伦纳德的交易变成了热门的话题。
伦纳德的实力毋庸置疑,这里就不再赘述,但是大家在YY的时候,是不是需要对他的伤病做出一点点考虑呢?
本文就将以医学的角度科普一下伦纳德的伤病,治疗方案及对后来的影响。
基础
首先,伦纳德目前并不是没有诊断,反而在伦纳德团队和马刺队医那里,诊断都是明确的,可以被称为Inflammation disorder of the quadriceps——股四头肌炎症,但这个名称并不是一个确切的诊断,而是一大堆疾病的统称,靠这几个字并不能对他的伤病做出判断。
首先,大家要知道inflammation虽然叫炎症,但是恐怕和大家常说的炎症并不是一个东西,事实上我们最常称呼的炎症应该是infection,这两者有重合也有不同。
简单的来说,inflammation是人体的自我防御反应,而infection表示的是病原微生物感染人体的状态,这其中当然是有inflammation反应的,但是并不是所有的inflammation都是伴随着病原微生物的,人体常常会发生防御反应的失控产生过犹不及的悲剧。
举例
欧文的第二次手术是infection,但是托马斯的髋关节和伦纳德的股四头肌是炎症。
股四头肌——不用说了,下肢爆发力的最重要源泉,上接髂前下棘,股骨体前侧,股骨粗线外侧 和股骨粗线内侧唇止点:四个头形成一条肌腱,环绕髌骨,向下形成髌韧带止于胫骨粗隆。
对篮球运动员而言,这四条肌腱任何一条出问题都是对职业生涯的巨大影响。
诊断
开门见山的说,结合伦纳德的情况和之前在reddit上爆出的一些他和马刺队医的风波,结合我的医学知识,目前最大可能的诊断为——骨化性肌炎myositis ossificans。
原因如下:
1.运动员中比较常见的肌炎;
2.和治疗不当的以往肌肉损伤有关——想想最近提到的2012年的旧伤;
3.病情比较反复;
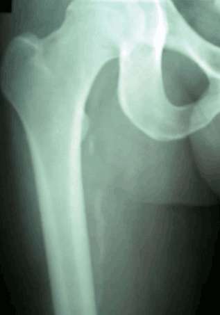
4.病理改变为肌肉和肌腱组织钙化沉积,治疗不当或者继续大负荷使用会最后导致肌肉骨化、断裂——这一点和伦纳德团队最近透风的内容很相似。下图大腿骨周围有些絮状阴影就是股四头肌沉积的钙质,大家可以想象下。
刘翔当年的跟腱钙化也极可能是这个疾病的后果。
当然除去这个骨化性肌炎以外,还有非常多的会导致这类迁延不愈的肌肉问题的疾病,但是这类疾病一般都原因不明,且无治愈手段,而且其实比较容易排除,比方说皮肌炎、狼疮性肌炎、多发性肌炎、化脓性肌炎、硬皮病等等——有一些特征性的皮肤红斑,而且采血化验什么anti-dsdna ANA都可以诊断。
治疗方案
该疾病治疗主要依靠休息……
还有适当的理疗,这里摘取一段权威医学杂志刊登的,对足球运动员股四头肌骨化性肌炎的治疗方案,大家可以看看,在制动数日加拄拐10天,疾病度过急性期后,该运动员还进行了下面的康复。
简单来说,整个康复过程花费了24-25周,并且在之后还有大量定期的复查,最后一次是在治疗开始后40周。
因此我们也就不难理解为什么卡哇伊已经赛季报销了。
依照卡哇伊本赛季不成功的复出和伤情的反复,我推断,他恢复到能参加高强度对抗大概需要30周。
治疗结果
总的来说,这个疾病的康复还是有保障的,绝大部分的人已经形成的钙化点可以被吸收。但是,仍然会有少部分的人因为康复时间不足,带伤作战导致钙化扩大,极大影响动作范围,这时候就需要手术切除这些已经形成的异常骨骼,然而这必然会削弱股四头肌肌肉及肌腱的牢固程度,这恐怕是卡哇伊非常不愿意看到的。
结合这些医学知识总结
1.卡哇伊和马刺队医的矛盾得到了解释:
卡哇伊7月份爆出股四头肌受伤,开始康复——差不多24周即6个月后,其在1月份复出,但是并不成功。
这也许确实由于马刺队医机械的照搬治疗方案,而并没有复查到位;或者卡哇伊在1月份真的在所有仪器上看起来不错。
2.卡哇伊伤病目前唯一可以做的治疗就是——休息,治疗周期大概30周,最快24周回到大强度训练。
3.卡哇伊的伤病在治疗得当的前提下,并不严重。
本文转载自虎扑,图片除署名外均来自网络,原标题:医学角度分析,伦纳德的腿伤到底是什么情况?
声明:配图除署名外均来自网络,禹唐体育原创文章未经同意不得转载,转载/合作请加禹唐微信小助手,微信号:yutangxzs





